In world’s first case, man tears his windpipe after holding in sneeze
text_fieldsIn the first known case of its kind, a man experienced a unique medical incident when he tore a small hole in his windpipe after attempting to hold in a sneeze.
The incident occurred when the man suddenly experienced hay fever while driving. Hay fever or seasonal allergic rhinitis is an allergic reaction to pollen.
Instead of allowing the sneeze to occur naturally or using conventional methods, such as placing a finger beneath his nose, he squeezed his nose and closed his mouth.
This sneeze control technique had just the opposite effect. The force of the suppressed sneeze caused a tiny, two-by-two-millimetre hole in his windpipe, according to a report in Live Science.
The closure of his airway led to a pressure build-up, triggering a sneeze that was 20 times more stronger than usual, causing significant damage. The pressure was so high that the man's windpipe tore, measuring 0.08 by 0.08 inches.
He then went to seek medical attention as he was in severe pain and his neck swelled on both sides. The doctors examined him and heard a faint crackling sound. However, the man did not have any trouble breathing, talking or swallowing.
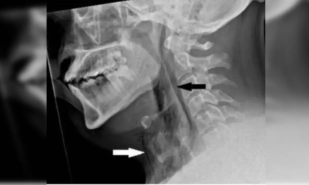
It was revealed by an X-ray that the man had a disease where air becomes trapped behind the skin's deepest tissue layers.
Subsequently, a CT scan showed that the rip was located between his neck's third and fourth vertebrae. Additionally, air had gathered in the area between his lungs and his chest.
The medical professionals concluded that the damage was caused by a "rapid build-up of pressure in the trachea while sneezing with a pinched nose and closed mouth."
While the man did not require surgery, he was kept under observation at the hospital for two days to make sure his vital signs, including oxygen, remained stable.
During discharge, doctors gave him painkillers and hay fever medicine and advised him to avoid any physically demanding activities for two weeks. A CT scan five weeks later showed that the tear had fully healed.
Several doctors stated that the case should be seen as a warning to others. "Everyone should be advised not to stifle sneezes by pinching the nose while keeping the mouth closed as it can result in tracheal (windpipe) perforation," the authors wrote in the journal BMJ Case Reports.
Injuring one's windpipe is extremely rare but not impossible, say doctors. There are very few documented examples, and when they do occur, it's typically as a result of physical trauma or injuries sustained during surgery, including the thyroid gland or insertion of a tube into the windpipe.
Usually, surgery is required to heal the damage, depending on the location of the rip and whether the patient's vital signs are stable, they added.





















